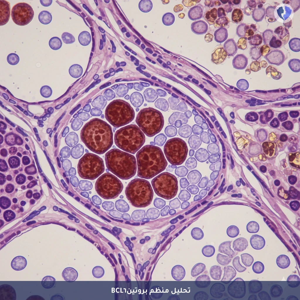
فحص مناعي نسيجي كيميائي (Immunohistochemistry) للكشف عن تعبير بروتين BCL6 (B-cell lymphoma 6) في نوى الخلايا. يعتبر BCL6 منظم نسخي أساسي لتطور ووظيفة الخلايا البائية في مركز الجرثومة (Germinal Center). يستخدم كعلامة تشخيصية رئيسية لتحديد منشأ الخلايا الورمية من مركز الجرثومة، وهو أساسي في تشخيص الأورام الليمفاوية المشتقة من مركز الجرثومة مثل اللمفوما الجريبية واللمفوما المنتشرة للخلايا البائية الكبيرة.