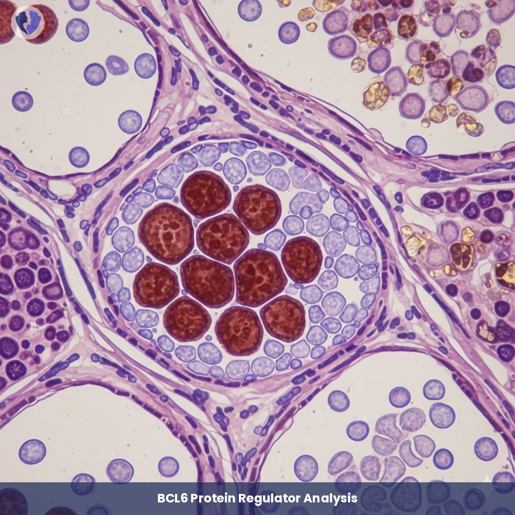
Immunohistochemistry is used to detect the expression of BCL6 (B-cell lymphoma 6) protein in cell nuclei. BCL6 is a key transcriptional regulator of germinal center B cell development and function. It is used as a primary diagnostic marker for identifying germinal center origin of tumor cells and is essential in the diagnosis of germinal center-derived lymphomas such as follicular lymphoma and diffuse large B-cell lymphoma.