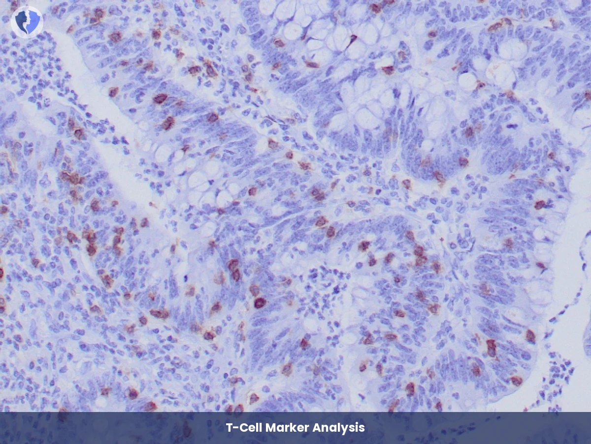
This diagnostic package, based on immunohistochemistry, involves testing for a range of T-cell markers on a tissue sample from the small intestine or colon. The package primarily includes testing for CD103 (αEβ7 integrin) in addition to the essential complementary markers: CD3 (a general T-cell marker), CD8 (toxic T cells), and TCRγ (to assess T-cell clonalness). The package aims to estimate the number, distribution, and phenotype of intraepithelial T cells (IELs) and lamina propria T cells, aiding in the diagnosis and monitoring of celiac disease, lymphocytic bowel disease, and intestinal T-cell lymphoma.