منصة لها لك الطبية
عرض صورة التحليل
العربية
تفاصيل التحليل

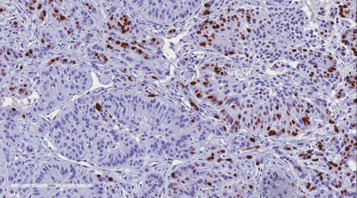
Immunohistochemistry:KI67

باقة تشخيصية تقديرية تُستخدم لقياس معدل نمو وتكاثر الخلايا السرطانية في الورم. تعطيك مؤشراً واضحاً عن مدى نشاط وعدوانية الورم، مما يساعد طبيبك على التنبؤ بسلوك المرض واتخاذ قرارات أكثر دقة حول شدة العلاج والمتابعة المطلوبة.

Immunohistochemistry:KI67
الصورة التوضيحية المرتبطة بهذا التحليل