منصة لها لك الطبية
عرض صورة التحليل
العربية
تفاصيل التحليل

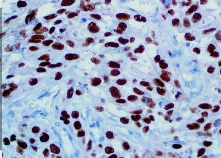
الكيمياء المناعية النسيجية: SOX10

عندما يكون تشخيص الورم معقداً، يقدم تحليل SOX10 حلاً دقيقاً. يساعد في كشف أصل الخلايا السرطانية المشتقة من القمة العصبية، مما يميز سرطانات الجلد (الميلانوما) والأورام العصبية بوضوح. هذه المعلومات الثمينة توجه الطبيب نحو التشخيص الصحيح وتمهد الطريق لعلاج أكثر تخصيصاً.

الكيمياء المناعية النسيجية: SOX10
الصورة التوضيحية المرتبطة بهذا التحليل