منصة لها لك الطبية
عرض صورة التحليل
العربية
تفاصيل التحليل

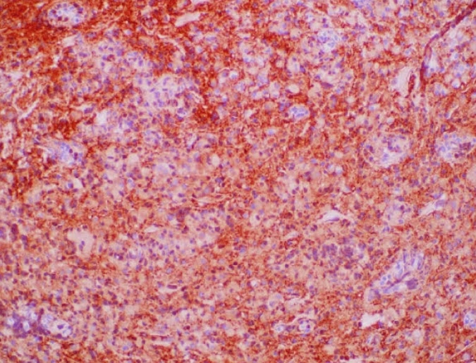
الكيمياء المناعية النسيجية: S100

أداة تشخيصية حيوية تساعد في تحديد هوية الأورام الصعبة. يكشف هذا التحليل عن علامة مهمة في الخلايا، مما يساعد الأطباء على تمييز أورام الجلد (الميلانوما) والأورام العصبية عن أنواع السرطان الأخرى. هذه المعلومة الدقيقة تُعد حجر الزاوية في وضع خطة علاجية موجهة وفعالة.

الكيمياء المناعية النسيجية: S100
الصورة التوضيحية المرتبطة بهذا التحليل