منصة لها لك الطبية
عرض صورة التحليل
العربية
تفاصيل التحليل

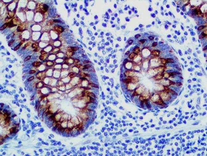
الكيمياء المناعية النسيجية: MUC2

تحليل نوعي لتشخيص سرطانات الجهاز الهضمي والمبيض المخاطية! يساعد MUC2 في تحديد الأورام المنتجة للمخاط (السرطانة المخاطية)، وخاصة في القولون والمبيض، مما يساهم في التصنيف الدقيق للورم واختيار العلاج المناسب.

الكيمياء المناعية النسيجية: MUC2
الصورة التوضيحية المرتبطة بهذا التحليل