منصة لها لك الطبية
عرض صورة التحليل
العربية
تفاصيل التحليل

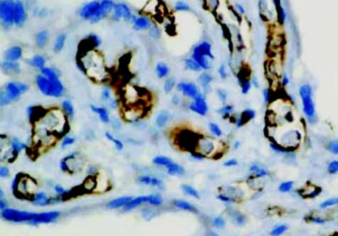
الكيمياء المناعية النسيجية: العامل الثامن

هل تحتاج إلى تحديد كثافة الأوعية الدموية في ورم ما؟ يساعد تحليل Factor VIII (vWF) في تشخيص الأورام الوعائية وتقييم التوعية الدموية للأورام السرطانية، مما يوفر معلومات مهمة عن سلوكها ومدى عدوانيتها.

الكيمياء المناعية النسيجية: العامل الثامن
الصورة التوضيحية المرتبطة بهذا التحليل