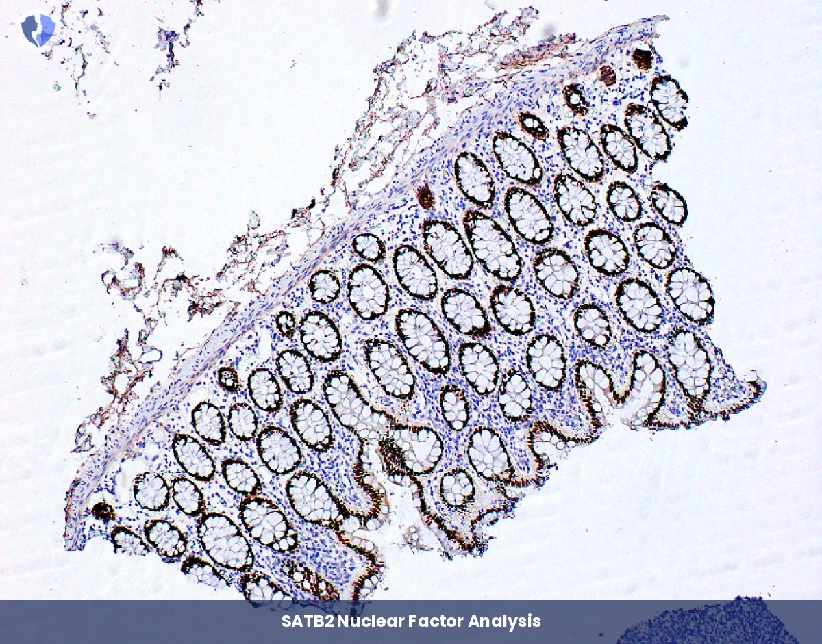
Immunohistochemical (IHC) assays reveal the expression of SATB2 (Special AT-rich sequence-binding protein 2), a nuclear transcription factor that plays a crucial role in intestinal epithelial cell differentiation and bone formation. SATB2 is a highly sensitive and specific histological marker for colon and rectal epithelial cells. It is primarily used to confirm the histological diagnosis of colorectal cancer (CRC), particularly in evaluating metastases of unknown origin, and to differentiate it from other cancers, especially ovarian and lung cancer.