Lahalak Medical Platform
Medical service image preview
العربية
Service Details

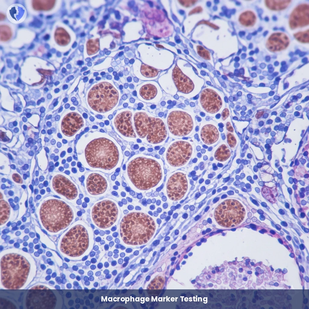
Inflammation and Cell Tumor Test - Immunohistochemistry (IHC): CD68

Inflammation and Cell Tumor Test - Immunohistochemistry (IHC): CD68
Illustrative image associated with this service